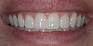
Dr. Melissa Torres has been recognized as one of Boston Magazine’s Top Dentists in 2019, 2021, 2022, 2023, 2024, and 2025. As a renowned general and cosmetic dentist, she specializes in creating beautiful smiles through preventative care, porcelain veneers and composite bonding – helping her patients feel confident about their smiles.